无内毒素质粒提取试剂盒开学季促销
庄盟生物开学季促销:无内毒素质粒提取试剂盒限时特惠,助力科研新征程
█ 产品一
| 货号 | 名称 | 规格 | 原价 | 促销价 |
|---|---|---|---|---|
| ZP122-1 | A型无内毒素质粒小提中量试剂盒 | 50T | 600 | 300 |
专属去内毒素方案可实现杂质零残留,一次性处理 5-25mL 菌液,最高提取量达 100μg,适配各类基础质粒提取需求。
产品核心优势
高纯度:专属去内毒素方案,杂质零残留。
高得率:一次性处理 5-25mL 菌液,最高提取量达 100μg,满足基础质粒提取实验需求。
操作便捷:步骤清晰,从裂解中和到洗脱仅需数步,大幅缩短实验耗时。
实验流程

实验结果

提取质粒:pCDNA3.1-EGFP-1 哺乳荧光质粒
菌液OD600=1.928 提取菌液 8mL
提取质粒:pmCherry-N1 哺乳荧光质粒
菌液OD600=1.411 提取菌液 15mL
70μL洗脱缓冲液洗脱
1、3:庄盟 ZP122
2、4: A公司
M:庄盟 DNA Marker
| 浓度 | A260/A280 | A260/A230 | |
| 1.庄盟ZP122 | 499ng/μL | 1.97 | 2.04 |
| 2.A公司 | 492ng/μL | 1.97 | 2.00 |
| 3.庄盟ZP122 | 711ng/μL | 1.95 | 2.19 |
| 4.A公司 | 539ng/μL | 1.97 | 2.06 |
应用场景
█ 产品二
| 货号 | 名称 | 规格 | 原价 | 促销价 |
|---|---|---|---|---|
| ZP124-2 | A型无内毒素质粒大提试剂盒 | 10T | 900 | 买一送一 |
享 “买一送一” 超值福利,单次可提取 300-1500μg 质粒,4 步操作即可完成,高效适配敏感细胞转染等对质粒纯度要求严苛的实验。
产品核心优势
超高纯度:去内毒素工艺优异,纯度表现突出,适配敏感细胞,实验稳定性强。
高量产出:单次可提取 300-1500μg 质粒,满足大规模质粒制备需求。
操作简便:4 步即可完成提取,步骤简单易上手,大幅提升实验效率。
实验流程

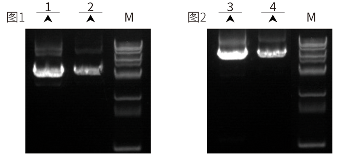
实验结果

图1提取质粒:pCDNA3.1-EGFP-1 哺乳荧光质粒
菌液OD600=2.435
图2提取质粒:pEGFP-N1 哺乳荧光质粒
菌液OD600=1.767
均是提取菌液 150mL,1mL 洗脱缓冲液洗脱
1、3:庄盟 ZP124
2、4:A 公司
M:庄盟 DNA Marker
| 浓度 | A260/A280 | A260/A230 | |
| 1.庄盟ZP124 | 705ng/μL | 1.92 | 2.09 |
| 2.A公司 | 368ng/μL | 1.97 | 2.07 |
| 3.庄盟ZP124 | 685ng/μL | 1.93 | 2.09 |
| 4.A公司 | 366ng/μL | 1.97 | 2.15 |
应用场景
本次促销活动为限时福利,最终解释权归庄盟生物所有。如需了解产品详情、申请试用或咨询采购,可拨打官方热线:010-62617225 / 022-23981837,或登录庄盟生物官网(www.zomanbio.com)查看更多信息。
促销时间:限时优惠,售完即止!
活动截止时间:2026年4月30日
庄盟生物——为生命科学研究探索提供更好的产品





